DERMATOLOGY
ATLAS
Home
Browse
Contact
Contributors
Links
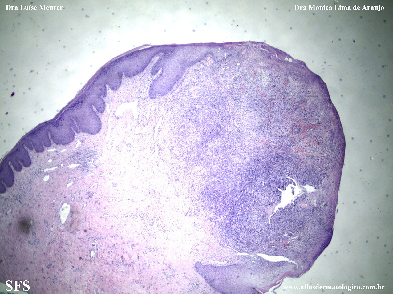
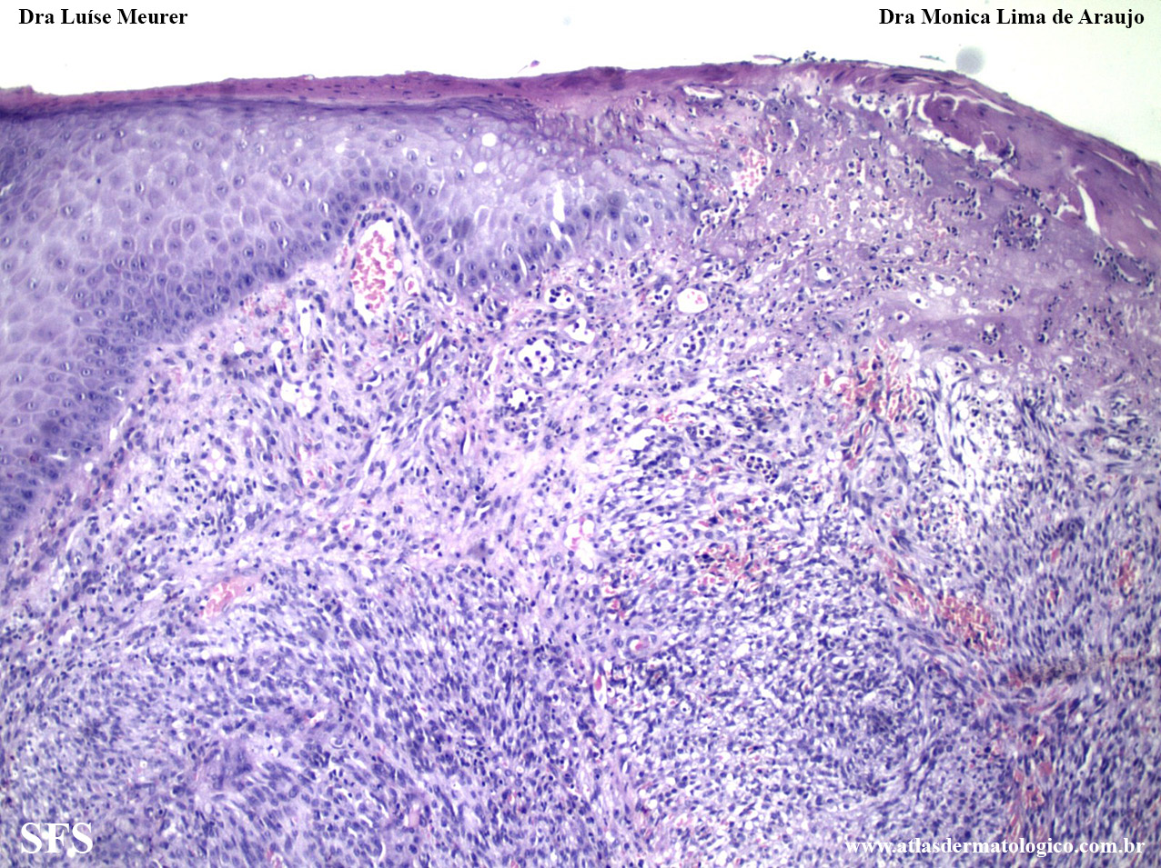
kaposi's _sarcoma_associated_herpesvirus_type_8