DERMATOLOGY
ATLAS
Home
Browse
Contact
Contributors
Links
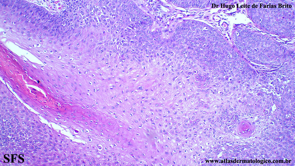
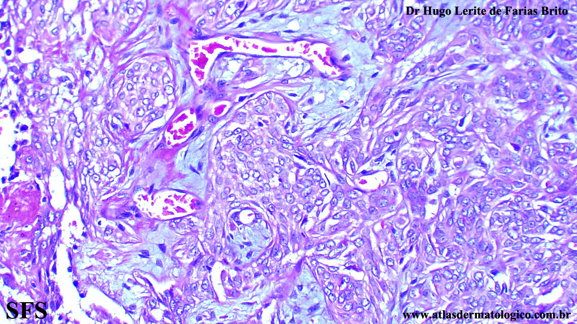
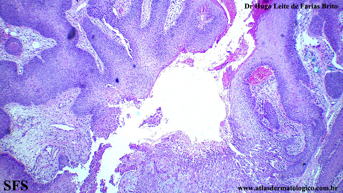
trichilemmoma-desmoplastic_trichilemmoma