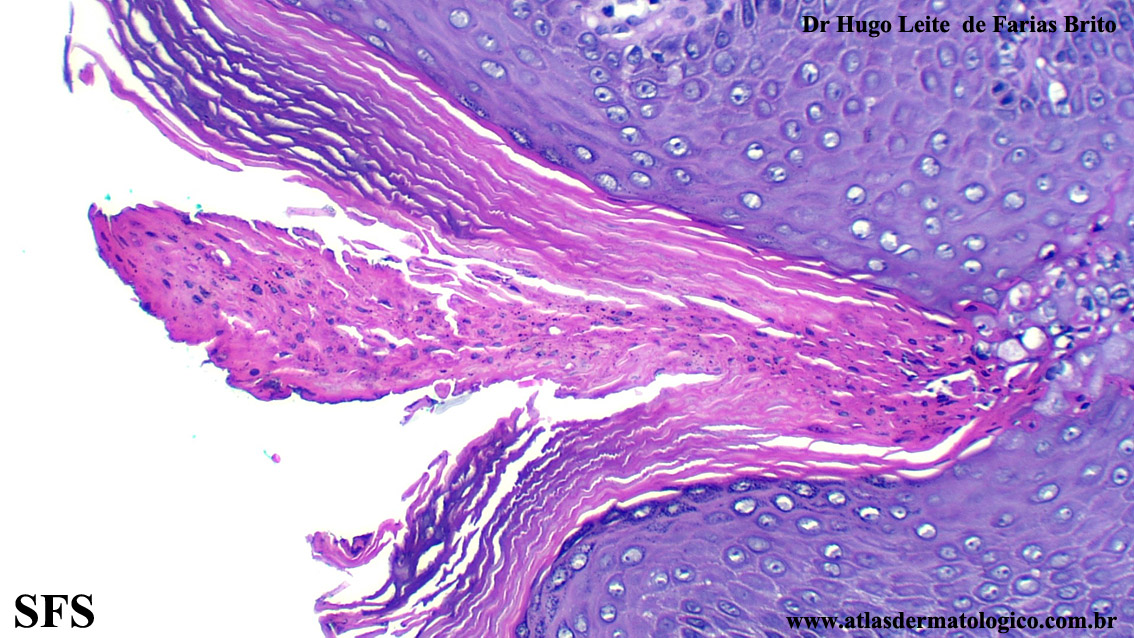
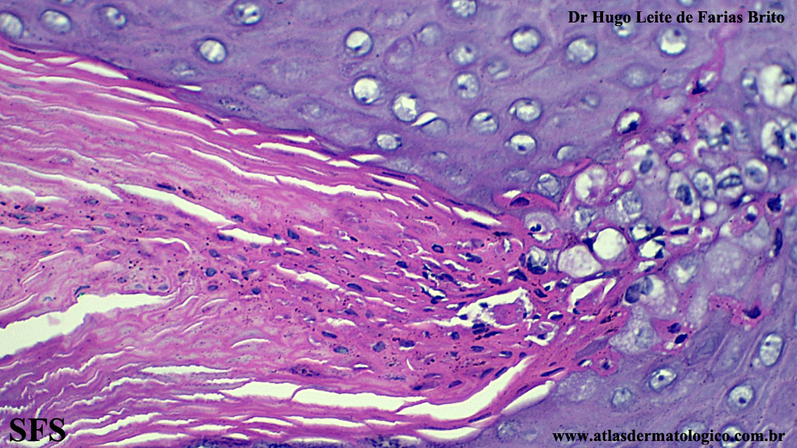
porokeratosis-inguinal_porokeratosis